📍 Unde ne găsești?
Clinica noastră, situată în Craiova, pe bulevardul Decebal nr.12, este un spațiu modern și primitor, unde profesionalismul și grija pentru pacienți sunt pe primul loc.
✨Dr. Mădălina Vlădoi, medic stomatolog dedicat sănătății și frumuseții zâmbetului tău!
🦷 Medicină dentară la cel mai înalt standard
Cu experiența dobandita și o abordare modernă a tratamentelor, Dr. Mădălina Vlădoi îți oferă servicii personalizate pentru un zâmbet frumos și sănătos. Fie că ai nevoie de prevenție, estetică dentară, implantologie sau tratamente minim invazive, ești pe mâini bune!
Ce îți oferim?
✔ Consult stomatologic complet și plan de tratament personalizat
✔ Tratamente pentru întreaga familie, inclusiv stomatologie pediatrică
✔ Albire dentară și estetică dentară pentru un zâmbet perfect
✔ Implanturi dentare și reabilitări orale complexe
✔ Tratamente fără durere, utilizând cele mai noi tehnologii
Redescoperă plăcerea de a zâmbi!
📅 Program: Luni - Duminica 09:00 - 22:00
📞 Contactează-ne pentru o programare!




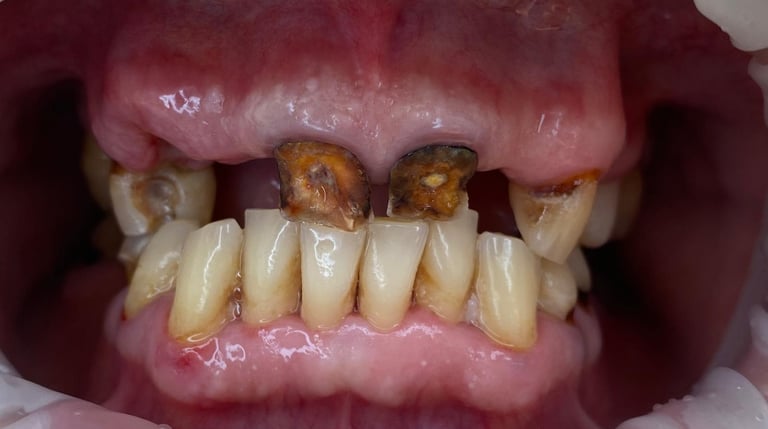
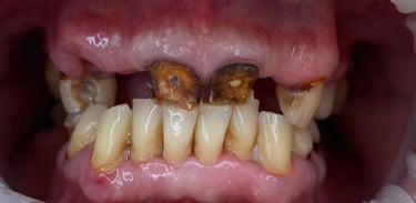
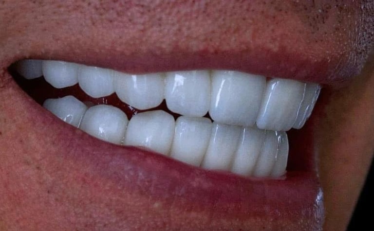
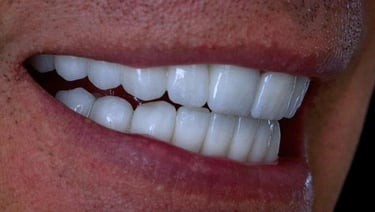
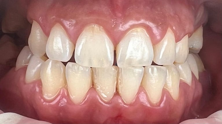
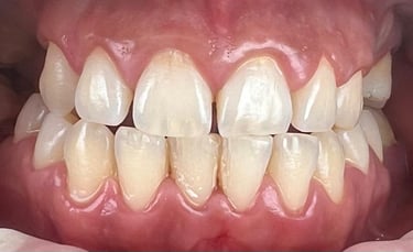
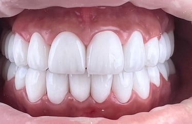
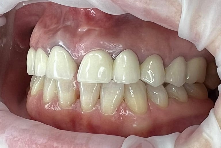
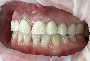
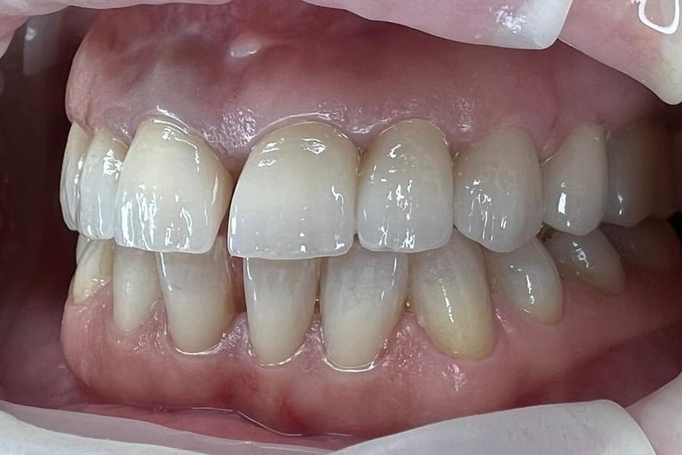
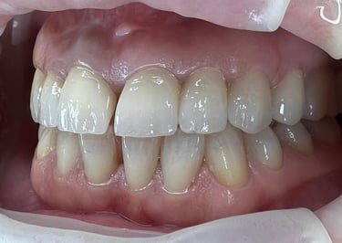
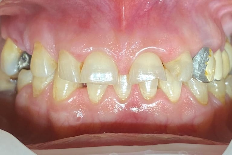
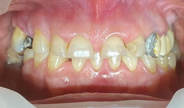
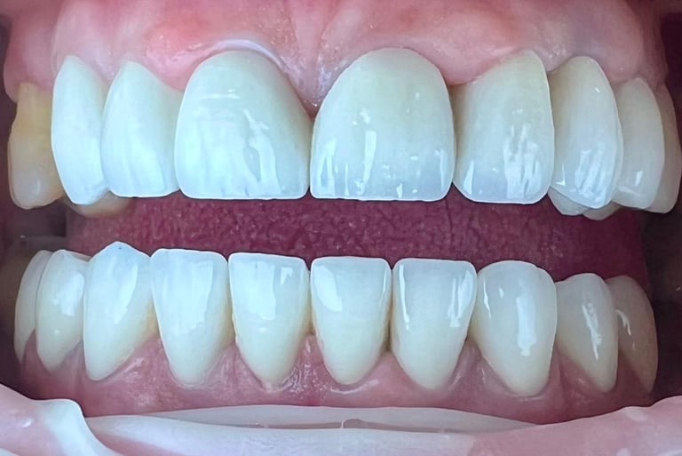
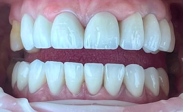
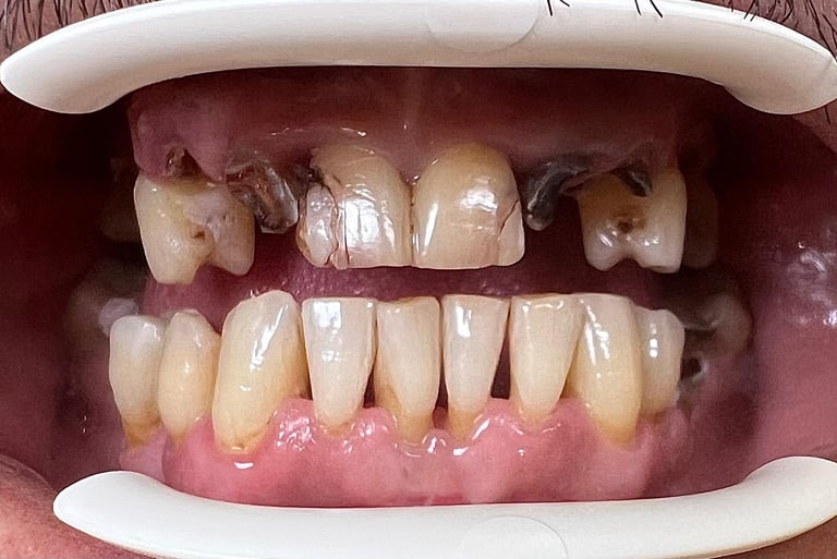
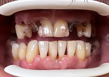
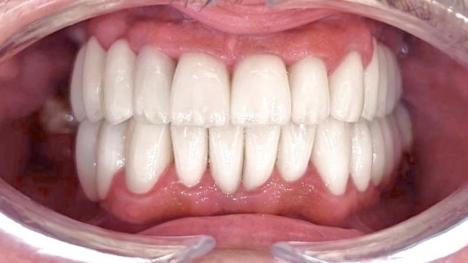
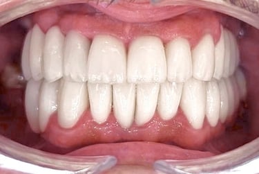
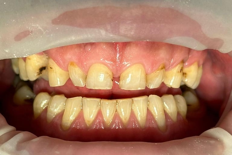
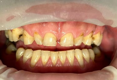
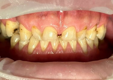
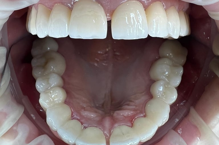
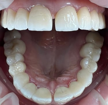
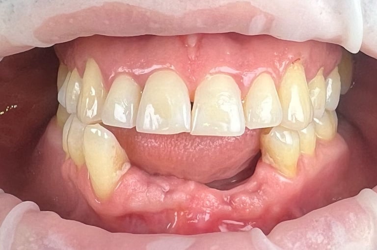
O PARTE DIN CAZURILE MELE




































before




before
before
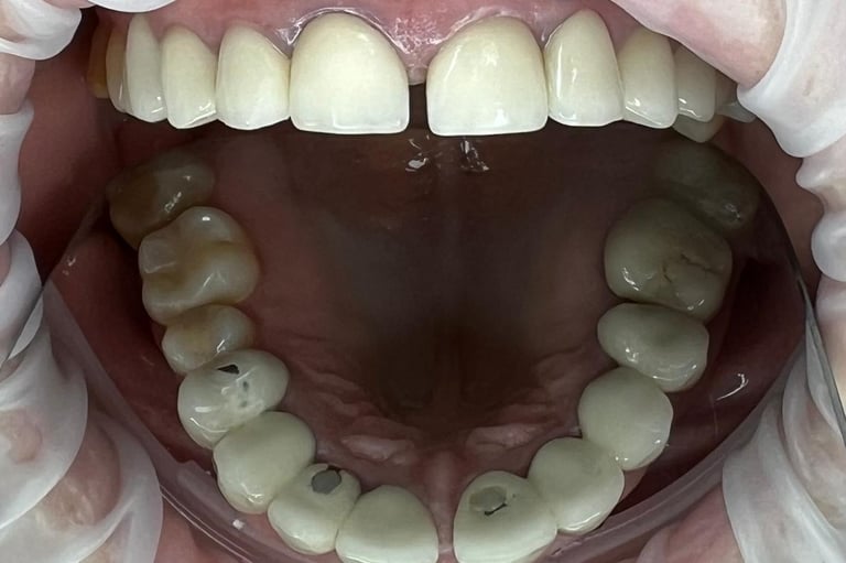
after
after
after
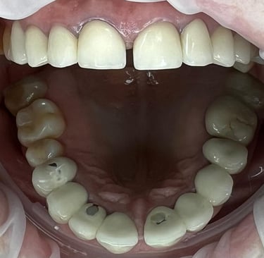
before
before
before
after
after
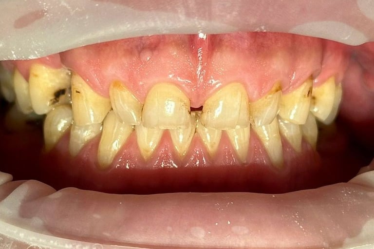
before
before
after
after
after










